Il percorso verso un nuovo sorriso è una salita condivisa
“Negli anni ho imparato che non esiste un trattamento uguale all’altro.
C’è chi parte con una malocclusione evidente, chi con un canino nascosto sotto l’osso, chi semplicemente non riesce a sorridere come vorrebbe.
E in ognuno di questi casi il meccanismo è sempre lo stesso: un movimento alla volta, con costanza e precisione, i denti e lo scheletro trovano una nuova armonia.
I tempi? Dipende dal punto di partenza, dall’età e dalla collaborazione del paziente — ma non lasciarti spaventare: la maggior parte dei cambiamenti più visibili avviene nei primi mesi, e vedere i miglioramenti dà una motivazione enorme.
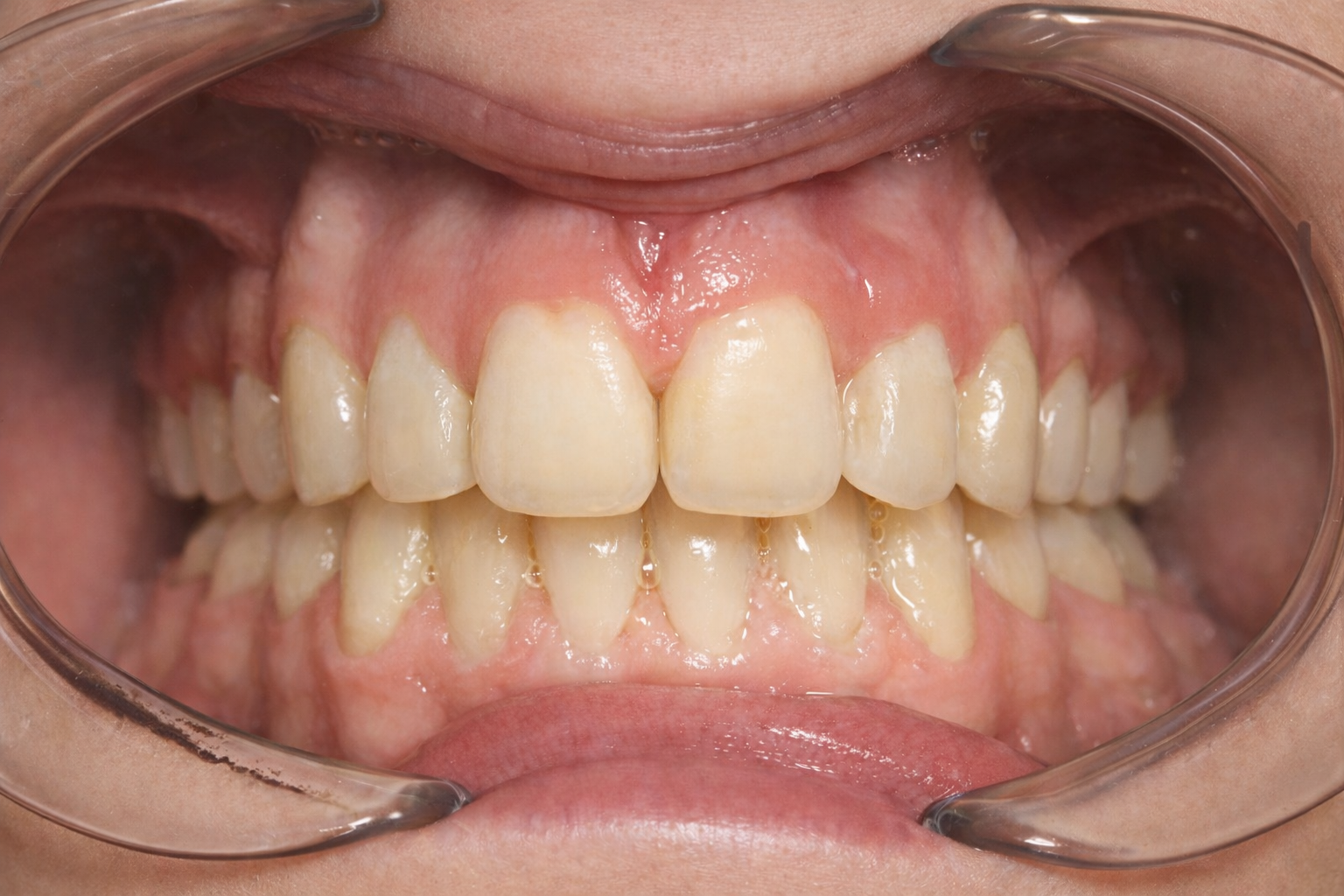
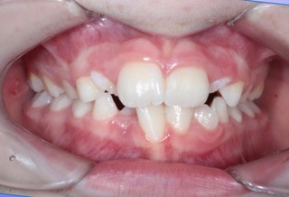
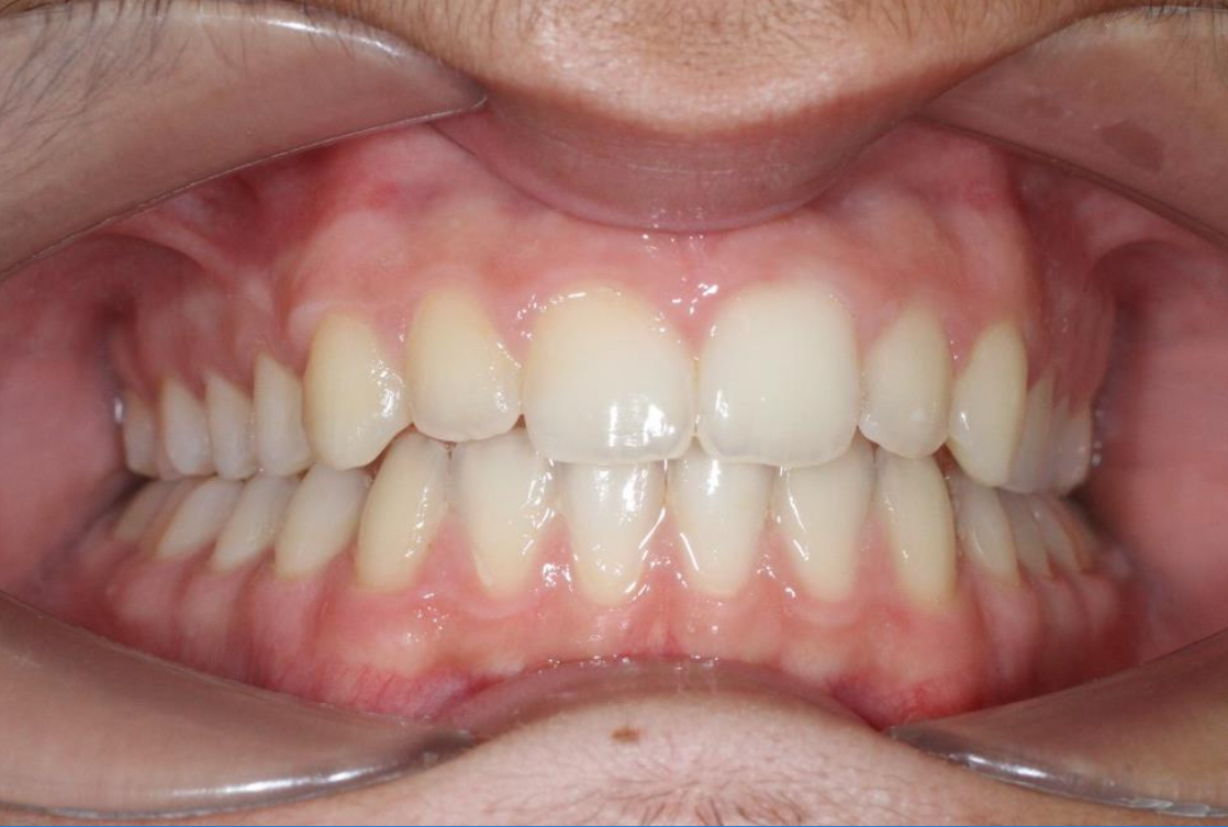
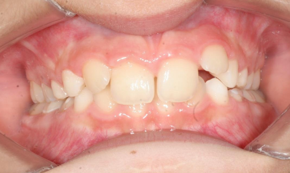
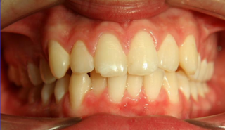
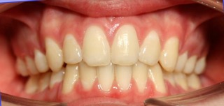
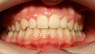
Qui ho raccolto alcuni dei risultati di cui vado più fiero:
non per mostrare “casi clinici”, ma per farti capire che sì, i cambiamenti sono possibili, e che dietro ogni prima/dopo c’è una storia fatta di impegno, fiducia e cura reciproca.“
Se stai pensando di iniziare un trattamento, guarda con calma queste immagini: potresti ritrovarti in più di un sorriso.
E quando vorrai, sarò felice di spiegarti quale percorso potremmo costruire insieme.

Ogni sorriso che vedi qui sotto racconta un percorso.
Nella mia esperienza, l’ortodonzia
non è mai solo raddrizzare i denti
è guidare i cambiamenti di una persona passo dopo passo.
(<12)
Joseph
Silvia
Adam
Mattia
(14-22)
Liam
Greta
(+35)
Adriana
Giulia
Andrea
WOW
Beatrice
Giulio
Alex
Sempre seguiti, anche fuori dallo studio.
Con Dental Monitoring controlliamo l’evoluzione del tuo sorriso grazie all’intelligenza artificiale.
Ogni sorriso ha il suo percorso
Dalla prevenzione alle terapie più complesse, ti accompagniamo passo dopo passo verso la soluzione più adatta a te.

